

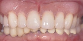
Finding a dentist near Ocoee who freely displays their work is a benefit many patients take for granted. At Maguire Comprehensive Dentistry, Dr. Zargari and Dr. Holz are pleased to stand by and showcase the superior results provided to individuals who once needed dental crowns, custom veneers, comprehensive smile makeovers, and even high-end dental implants. Take a look at the following images and call us if you have any questions about our work.
About Us Meet the Dentists Meet the Team Tour Our Office Community Involvement Advanced Dental Technology & Services View Our Services