
Dental veneers are a popular option for enhancing your smile, so maybe you’ve heard a thing or two about the treatment process. Today, you’re (understandably) worried about one aspect in particular: will your dentist really remove some of your natural enamel?
The short answer is “yes,” but don’t worry – getting dental veneers is quite safe, and your oral health won’t be negatively affected. Keep reading to learn why!
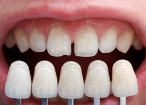
How Do Dentists Place Dental Veneers?
After color matching and customizing your veneers, the next step in the process is in fact removing a tiny sliver of your natural enamel. You’ll be numbed with a local anesthetic, so rest assured, you won’t feel any outright pain.
From there, your dentist will use a technique called “etching” to alter the surface texture of your teeth, then apply the special adhesive and carefully place your veneers. It might take some time for the adhesive to set, but once it does, you’ll be free to enjoy your new smile.
Why is Enamel Removed for Dental Veneers?
Removing dental enamel is a necessary part of the veneer process for two reasons. First, it helps ensure that your veneers won’t look unnaturally bulky or thick. Second, it helps form a stronger bond between your tooth and the special adhesive. Think of it this way: it’s difficult to hold onto a completely smooth surface, but if the surface has a rougher texture, it’s much easier to latch on and keep a firm hold.
How Much Enamel Will I Lose?
No more than necessary – which isn’t very much. Essentially, your dental veneers will be replacing your removed enamel layer, meaning your dentist just has to shave off enough to make room for the veneers. The average veneer is only .02 inches (or half a millimeter). To put that in more visual terms, your dentist will remove an amount of enamel no bigger than the “thickness” of a contact lens.
Once your veneers are in place, they’ll negate any sensitivity you would otherwise experience from lost enamel. So while it’s true your dentist will have to shave off some natural enamel, you won’t be at an increased risk for conditions like cavities and gum disease. This is why the ADA (American Dental Association) considers dental veneers to be quite safe!
About the Practice
Dr. Erik Holz and Dr. John Zargari are highly experienced dentists who have completed several advanced training programs in a number of complex dental treatments. They have a conservative approach to dentistry, meaning that they prefer to make as few alterations to your natural teeth as possible. If you’re worried about the amount of enamel removed during the dental veneer process, Dr. Holz and Dr. Zargari would be happy to address your concerns and make sure you’re well-informed about your treatment. To contact their office for a consultation, call 407-654-0070.